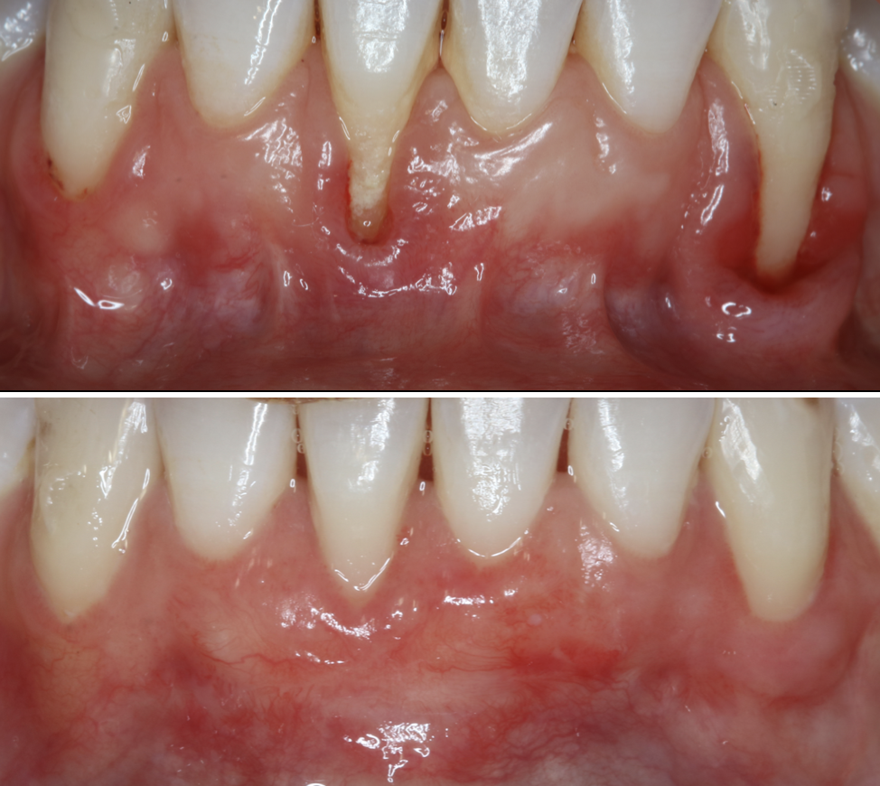
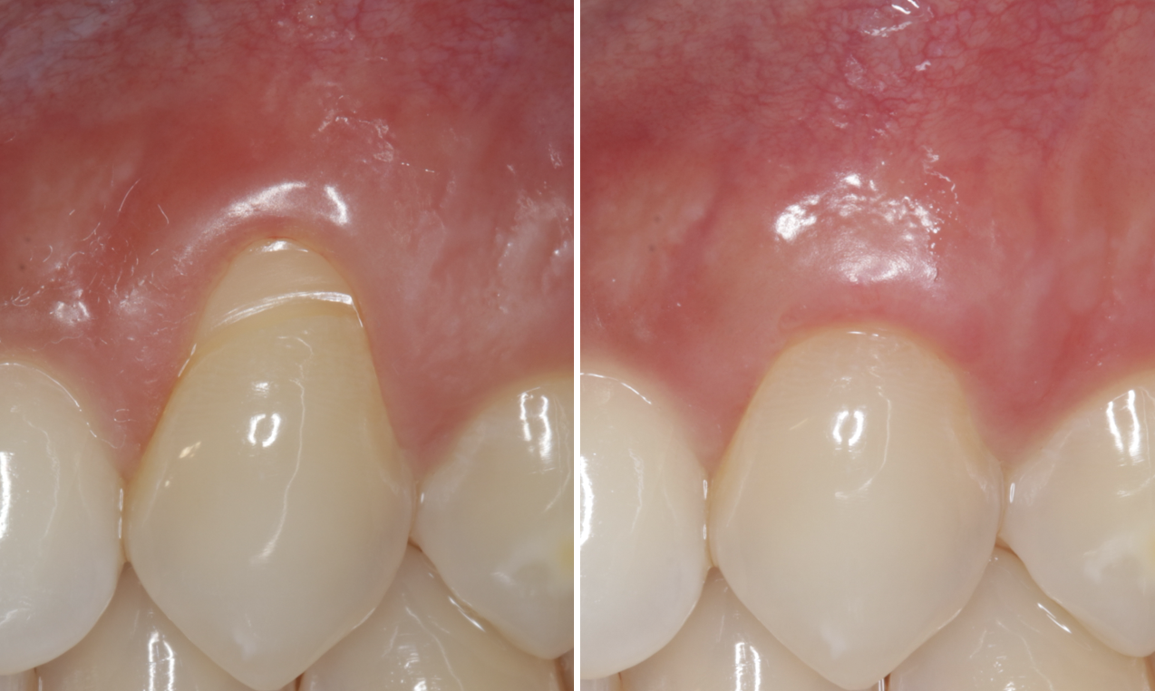
The images below showcase Before & Afters of treatment of periodontal conditions. Aside from treating periodontal diseases, periodontics also offers treatment to cosmetically enhance our smiles. Gum grafts are able to treat gingival recessions, and crown lengthening surgeries allow for the treatment of gummy smiles or to harmonize the gums providing beautiful symmetry.


